抜いた方がよい、おやしらずとは?

こんにちは、高円寺PAL歯科医院の新井です。
おやしらずは必ずしも抜かなければいけないわけではありませんが、抜いた方が良いケースが多いです。
しかし、抜歯、とりわけおやしらずの抜歯となると「痛い、腫れる」というイメージが先行して、「考えます。。。」と言ったまま、フェードアウトされる患者さんもいます。
確かに、おやしらずの抜歯は難しい、リスクが高いため専門の病院で抜歯を受けなければならない事もありますが、全てが全てそういうわけではありません。
比較的簡単に抜歯でき、痛みも少ないケースも多いです。
逆にそういったおやしらずを放置してしまったために、思わぬ大変なケースに発展してしまう事もあります。
今回は、抜いた方がよいおやしらずをケース別にご紹介します。
上のおやしらず
上のおやしらずは簡単に抜歯出来るケースが多いです。
歯並びが良く、しっかりお口の中の清掃が行き届いているケースであれば、抜歯しなくても良いのですが、多くの場合、歯ブラシが届きづらいため、清掃できておらず、虫歯になってしまっている事が多いです。
放置すれば、手前の歯にも虫歯は移っていきますし、抜歯の難易度が上がり抜歯後の痛みも大きくなるため、良い事は何もありません。
虫歯になった上のおやしらず

よくある、虫歯になっている上のおやしらずです。
歯の溝に沿って虫歯が進行しています。
虫歯の治療をしても、再発するリスクが高いです。
本格的に虫歯が進行する前に抜歯した方が良いでしょう。
抜歯も簡単に終わるケースが多いです。
噛み合わせの列から外れてしまい、歯ブラシが届かない
![]() |
![]() |
赤く染まっている部分が、歯の汚れがついている部分です。
おやしらずが手前の歯並びよりも頬側にずれて生えているため、歯ブラシが届かないため、親しらずだけ汚れがついているのがわかります。
大きな虫歯にならないうちに、抜歯した方が良いですね。
親しらずが頬や歯肉を噛んでしまう
上のケースのように歯並びの列から外れてしまったおやしらずに多いのですが、おやしらずが常に頬に触っている状態で、歯の頭(咬頭)が食事の際などに頬を擦ってしまい、裂傷になっています。
このような場合、患者さんは「歯が痛い」という訴えで来院される事が多いですが、見てみると頬や下顎の歯肉に傷があったりします。
当然、歯ブラシも満足に当てられませんし、抜歯一択ですね。
おやしらずが手前の歯に寄りかかっている
![]() |
![]() |
おやすらずが手前の歯に寄りかかっているケースも、虫歯や歯周病が進行しやすくなるため、抜歯した方が良いです。
写真はレアケースで、手前の歯の成長段階からおやしらずが寄りかかってきて、成長を阻害しているようにもみえます。
いずれにしても、手前の歯の虫歯の治療段階でおやしらずを抜いておいた方がよかったような気がしますが、何かあったのかな?
いくら患者さんのためを考えて説明しても、首を縦にふらない患者さんもいますしね。。。
下のおやしらず
下のおやしらずの抜歯の方が、上のおやしらずの抜歯よりも大変な事が多く、抜歯に時間がかかると痛みや腫れも出やすいです。
「おやしらずを抜いた後に、何日も腫れて痛かった」という症状は、下のおやしらずのケースが圧倒的に多いです。
他院で下のおやしらずを抜いた時にひどく晴れて痛んだので覚悟していたが、上のおやしらずがあっけなく抜けて拍子抜けされる、というのは歯医者あるあるです。
おやしらずが手前の歯に寄りかかっている
![]() |
![]() |
少し寄りかかってるケースですね。
寄りかかっているケースの中でも比較的抜きやすい生え方に見えますが、
若干、歯と骨の境界が不鮮明な上、下歯槽管という神経や血管が含まれる管(青いライン)に若干触れている可能性があります。
抜歯時に触れてしまう事で、顎や唇のしびれが生じたり、通常よりも多く出血するリスクがあるので、通常よりも抜きづらく、注意が必要な抜歯になります。
とはいえ、手前の歯が虫歯になりかかっている(赤いライン)可能性があるので、いつまでもこのままというわけにはいきません。
早めに抜歯する必要があります。
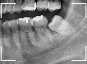
おやしらずが原因で、手前の歯があきらかな虫歯になっている
![]() |
![]() |
上のケースをより深刻にした状況で、手前の歯とおやしらずの間に食物残渣が日常的に押し込まれているせいで、手前の歯が大きな虫歯になってしまったケースです。
これは早急に治療が必要な状況ですし、抜歯も困難で治療後の痛みや腫れが避けられないです。
・・・が、このような状況でも、痛みや症状を感じない方もいますし(近いうちに大きな症状は起こすでしょうが)、(私たちからすると)驚くことに「検討します」と言ってフェードアウトされる方もいます。
痛みはなくても、日常的に物がつまって、気持ち悪いと思うんですけどね。。。
さて、このケースの場合は、手前の歯が深い虫歯になっている(赤いライン)上に、おやしらず周囲の歯槽骨(青いライン)も吸収しています。
その骨が吸収した部分に食物残差が押し込まれ、さらに歯槽骨は吸収される悪循環です。
これでは、虫歯で痛くなくても、歯ぐきがとても腫れやすい状況ですし、歯を支える骨が薄くなっているので、少し歯がぐらぐらしてるかもしれません(おやしらずにはさまれているので、現状でははっきりわかりません)。
とにかく、待ったなしの状況であります。

少し歯と歯の境を削ったところです。
食物残差と虫歯でひどい状況になっているのがわかります。
治療も大変ですが、経過観察していても状況は良くなりませんので、あと一息、頑張りましょう!
ここまでこのブログを読んでいただいた、歯の治療に関心の高いあなたのご来院、お待ちしています。
今後ともよろしくお願いします。
高円寺PAL歯科医院 :https://kp-dental.com/
〒166-0003 杉並区高円寺南4-25-4 RESTA高円寺3F
電話:03-6383-1963
電車でお越しの方:
JR線 高円寺 駅南口より 徒歩2分








