歯周病・短期集中治療
歯医者の治療は、いつまで通わなければいけないのか分からないというイメージをお持ちではないですか?
歯科治療で治療回数や期間がかかってしまうのは、神経の治療など、治療そのものに回数がかかってしまうものがあるのが一つ、そして保険診療で行っているのも、理由の一つです。
保険診療では国が明確なルールを定めており、治療内容や治療時間、使用できる薬剤に制限があります。
特に保険診療における歯周病治療は、1度に治療できる治療範囲、順番や期間に大幅な制限があるために、短時間の治療を何度も繰り返す原因となっています。
なぜ、歯医者の治療はなかなか終わらない?
なぜ、歯医者での治療が終わりにくいのでしょうか。
まれに「金儲けのためにチョコチョコ歯石除去などをして引き伸ばしている」と考える方がいらっしゃいます。
そうではない事が、理想的な歯科治療の進め方と保険診療の治療の流れのルールを理解していただくとわかります。
理想的な歯科治療の進め方と、保険診療のルールの縛り
理想的な歯の治療の進め方は、
「まず歯周病の治療を行い、歯ぐきの状態を改善する」
事です。
歯の周りの歯ぐきを改善してから治療する事で、虫歯やさし歯の治療も良好な結果を得られます。
保険診療の治療の流れも、おおむねこのような考え方に沿って進めるルールになっています。
歯周病の治療
まず、歯周病の治療で歯ぐきを改善することが、理想的な歯科治療の第一歩ですが、保険診療の歯周病治療ルールでは、一日に治療できる範囲に縛りがあり、
初期歯周病治療で2回程度
中期歯周病治療で3-8回
重度歯周病治療で10回~
の治療回数がかかります。
患者さんのご都合とは関係なく、短時間の治療を繰り返す必要があります。
虫歯の治療
歯周病の治療の結果、歯ぐきが改善する事で、歯石の奥に隠れていた虫歯が見つかる、虫歯除去後のつめものが綺麗に仕上がる、などのメリットがあります。
さし歯の治療
歯周病の治療が終わらないと、理想的なさし歯を作る条件が整ったとはいえません。
そのため、保険診療では歯周病の治療が終わった後に、さし歯を作るルールになっています。
患者さんがご希望されても、さし歯の治療を行った後に、さかのぼって歯周病治療を行う事はできません。
「歯石除去ばかりの通院で、なかなか希望(さし歯など)の治療が進まない」という患者さんの不満も耳しますが、
保険診療では、歯周病治療は回数をかけるルールになっている
保険診療では、さし歯は歯周病治療が終わった後に製作するルールになっている
実はこのような事情があるのです。
入れ歯などの治療
さし歯をお作りした後に、入れ歯やインプラントなどで大きな咬み合わせの回復をします。
治療後のメンテナンス
定期メンテナンスで「治療直後のあなた」を維持します。
保険外診療であれば、保険診療のルールに縛られずに自由に診療をする事が可能です。
とはいえ、一度保険診療のレールに載ってしまうと、ルール上途中下車はできません。
当院の「歯周病短期集中治療」は、中期程度までの歯周病患者さんを対象に、特に長引く歯周病初期治療を保険診療の枠にとらわれない「自由診療」として予め行います。
保険診療に比べて大幅に治療期間や回数を短縮し、効率よく歯科治療を進める事が可能です。
他に虫歯の治療の必要がある方、重度の歯周病の方なども、あらかじめ歯周病の初期治療を行う事により、より精密な治療を行う事ができます。
「忙しくて通院時間がなかなか取れないので、効率よくしっかり治療を行いたい方」
はぜひご検討下さい。
歯周病・短期集中治療の流れ
1回目 診査・診断 カウンセリング
初めてのご来院時に、口腔内の検査やレントゲン撮影を行い、治療が必要な全ての歯の状態を把握し、「歯周病短期集中治療」の適応かお伝えし、ご検討いただきます。
歯科医師に言われるまま何となく治療を始めてしまうと、ご自身の「治したい!」という強い気持ちがなく、途中で通院をやめてしまうという結果に繋がってしまいます。
ですので当院では、「治したい!」という患者様の強い気持ち、ご納得されたうえで治療をはじめることで、信頼関係を気づき、一緒にゴールを目指していきたいと考えています。
2回目 歯周病・短期集中治療
120-150分程度のお時間を取り、保険診療では最大8回かかる歯周病の初期治療を1度に行います。
お忙しく来院できる回数が少ない方や、遠方から来院される方の大幅な治療期間の短縮に喜ばれています。
※より深い歯周病の方は、別途歯周外科処置などが必要です
※虫歯治療などで保険診療をご希望の方は、3回目以降から対応可能です
歯周病短期集中治療のメニュー
初期~中程度までの歯周病の患者さんを対象に、長引く歯周病治療を150分ほどの時間を確保して一回で行います。
通常よりも長い治療時間になりますので、お口を休める時間も考慮しております。
歯周病・短期治療を受けられる患者さんは、初回の検査(レントゲン含む)、診断料は無料となります。
歯周病・短期集中治療の内容
歯ブラシ指導
歯ブラシで歯の周りのプラークをしっかり除去する事は、歯周病治療の基本です。
歯周病治療の効果を最大限に引き上げるために、正しく効果的な歯ブラシ法をお伝えします。
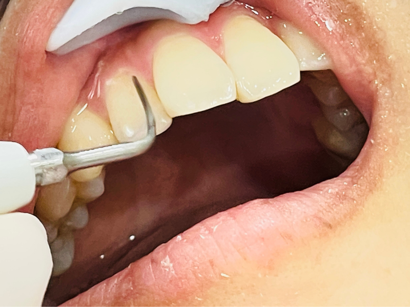
スケーリング・ルートプレーニング
メインの診療です。
保険診療では最大8回かかるスケーリング・ルートプレーニングまでの治療を1回で行います。
休憩時間をはさみながらですが、長時間の治療になりますので、体調管理をしてからの来院をお願いします。
ポリッシング
再び歯石がつきにくいように、歯の表面を研磨し、滑沢にして終了です。
お疲れさまでした。
歯周外科治療
歯周病短期治療を受けられた方で、外科治療などのより深い治療が必要な方のための治療メニューです。
歯周病のより進行した歯を対象に、1回につき、60分程度の治療時間でより深く歯周病治療を行います。
治療が必要な歯の本数に伴い、1~6回程度の治療回数になります。
