治療後のメンテナンス
-
- STEP 1まず、目視でお口の中全体をチェックします。
- お口の中は、痛みがなければ、問題がないかというとそうではありません。
虫歯であれば、歯と歯の間(隣接面)や、古いインレー(つめもの)/さし歯(クラウン)の入っている歯は2次う蝕の要注意です。
問題がありそうな場所があれば、レントゲン写真を撮影して確認します。
-
- STEP 2歯周ポケット検査(状況に応じて、歯ブラシチェック)
- プロービング検査で歯周病が進行していないか、チェックを行います。
・歯周ポケットの状態が安定していない
・お口の中が汚れている部分がある
・プロービング時の出血の状況
に応じて、歯ブラシチェックを行います。
-
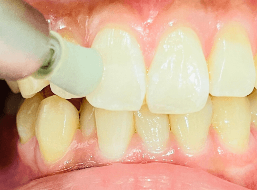
- STEP 3スケーリング
- 歯周病の治療よりも、歯肉の現状維持、補綴物(つめもの、さし歯)のチェック、2次う蝕のチェックなどを目的にお口の中全体をスケーリングします。
-
- STEP 4歯面研磨
- 見た目だけでなく、虫歯や歯周病の再発予防を目的に、歯の表面を研磨してつるつるにします。
- Q治療後の定期メインテナンスはなぜ必要ですか?
- A歯周病・虫歯の再発リスクを大幅に減らすためです。
歯科治療後、定期メンテナンスに通院される事により、プラークや歯石の再沈着を防ぎ、治療後の状態を維持します。 - Q定期検診では具体的に何をしますか?
- A歯周ポケット検査、歯科衛生士によるプロフェッショナルクリーニング(PMTC)、歯面研磨を行い、口腔内全体の健康状態をチェックします。
歯必要に応じて、歯ブラシチェック、レントゲン撮影なども行います。 ・むし歯や歯周病のチェック
・歯ぐきの状態の確認
・歯石やプラーク(歯垢)の除去
・歯のクリーニング(PMTCなど)
・噛み合わせのチェック
・歯磨き方法や補助用具の使い方の指導
・その他、必要に応じたアドバイス - Q歯周病治療後のメインテナンス頻度はどれくらいですか?
- A3か月ごとのメンテナンス受診が基本です。
ただし、お口の中の状態により、もっと短い頻度で来ていただく事もあります。 - Qメンテナンスを受けることで、将来的に歯を失うリスクを減らせますか?
- Aはい、大幅に減らせます。
定期的なメンテナンスは、むし歯や歯周病の早期発見・早期治療につながり、その進行を抑えることができます。
その結果、将来的に歯を失うリスクを大幅に減らすことができます。 - Qメンテナンスに通っていれば、むし歯や歯周病は絶対に防げますか?
- A残念ながら、100%防げるわけではありません。
定期的なメンテナンスは、むし歯や歯周病のリスクを大幅に減らすことができますが、100%防げるわけではありません。
ご自身での丁寧な歯磨きと、歯科医院でのプロフェッショナルケアを継続することで、お口の健康を長く維持することができます。 - Qメンテナンスをサボるとどうなりますか?
- A虫歯・歯周病のリスクが高まり、歯の寿命にも影響します。
定期的なメンテナンスを怠ると、虫歯が再発→神経を取る→抜歯、歯石再付着→歯周病が悪化→抜歯と、歯の寿命を縮める様々なリスクが高まります。
治療費以上の損失を防ぐためにも継続が重要です。 - Q自宅でのケアはどんなことを注意すればよいですか?
- A毎日の正しい歯磨き+デンタルフロス(または歯間ブラシ)で、お口のプラーク除去を徹底しましょう。
詳しい歯ブラシの当て方やケア方法は、クリニックでご案内しています。 - Q喫煙や食生活は治療後のメンテナンスに影響しますか?
- A影響します。
喫煙は歯周組織の血流を阻害し、骨結合・治癒を遅延させるため、禁煙を強くおすすめしてします。
また、色素沈着を防ぐためには、濃い飲食物(コーヒー・赤ワインなど)は控えめにしていただく事をおすすめします。 - Qさし歯やつめ物が取れたり、欠けた時はどうすればいいですか?
- Aとれたさし歯やつめものを保管し、なるべく早めにご連絡ください。
メンテナンス受診時に申し出られる方もいますが、対応不可能な事があります。
取れたものが再装着可能な時もありますので、早めにご連絡いただき、捨てずに持ってきてください。 - Q入れ歯やブリッジを入れた場合も、メンテナンスは必要ですか?
- Aもちろんです。
特に、ブリッジの周囲は、ご自身の歯よりも歯ブラシで清掃がしにくく、不潔になりがちです。
定期メンテナンスに受診していただく事により、日常の歯ブラシではどうしても汚れやすい部分もチェックし、虫歯や歯周病が進行しないように予防処置します。

治療で得た安心を、長く、美しく保つには、継続したメンテナンスが鍵
丁寧なケアの積み重ねが、トラブルのない未来の口元を育ててくれます
治療後のメンテナンスとは?

治療後のメンテナンスとは定期的に歯科医院で行う「お口の中のチェックと肉の状態維持」が目的の診療です。
具体的には、以下のような内容を行います。
虫歯や歯周病の早期発見・早期治療(レントゲン検査など)
歯石やプラークの除去(プロによるクリーニング)
歯ぐきやかみ合わせのチェック
セラミックや被せ物の状態確認
ご自宅でのケアのアドバイス(歯ブラシチェック)
定期メンテナンスは、すでに治療した歯の状態を維持するのに付随して、まだ問題のない歯を虫歯や歯周病から守るためにとても効果的な治療です。
なぜ、治療後のメンテナンス受診が重要なのか
治療が終了して、そのまま歯科医院から足が遠のくと、どんなリスクがあるのでしょうか?
治療した歯が再び悪くなる
たとえば、神経を取った歯は、もともと血の通わない“もろくなった歯”です。
噛み合わせや磨き残しなどが原因でヒビが入ったり、詰め物のすき間から再度むし歯になってしまったりすることがあります。
歯周病の再発
歯周病は慢性的に進行する病気で、ある程度進行した歯周病の完治は難しいです。
一度治療がひと段落しても、それは定期メンテナンスで歯周病の進行を抑えるスタートラインに立ったにすぎません。
歯周病は自覚症状がないまま進行するため、「治療がひと段落したから、治った」と、勘違いし、気づいたときには「歯がグラグラ」「歯ぐきが腫れている」といった状態になることもあります。
問題が出てからは「手遅れ」
「違和感が出てからでいい」と思っていると、症状が出る時点で、原因が虫歯であれば大きく歯を削る治療、歯周病であれば抜歯を検討しなければいけないような状態にまで進んでいることが多くあります。
より大きな治療が必要となり、治療期間・費用ともに負担が大きくなります
治療後のメンテナンス受診を継続している患者さんに起こるメリット

治療後のメンテナンスに定期的に来ている方には、どんなメリットがあるでしょうか。
代表的なものをご紹介します。
歯の寿命が延びる
定期的なチェックで虫歯や歯周病の悪化を早期に発見できれば、歯を削る・抜くなどの大きな治療を避けることができます。
結果として、ご自身の歯の寿命を延ばすことが出来ます。
治療回数が減り、医療費も下がる
定期メンテナンスを続けることで、歯を大きく削る・抜歯など治療の必要がなくなり、治療の連続のサイクルから脱出でき、結果として医療費も大きく削減できます。
お口の中がいつもすっきり
定期的なプロのクリーニングで、着色や歯石がつきにくくなり、見た目にも美しい口元が保てます。
健康意識が自然と高まる
定期的にお口の状態を確認することで、全身の健康にも意識が向き、生活習慣の見直しにもつながります。
日本の歯科医療の現状とは?

日本が世界に誇る保健医療制度は、保険証一枚で安価で良質な医療が受けられる、すばらしい制度です。
そのおかげで歯科においては、痛みや症状が出た際に保険証を持って治療を受けるという習慣が定着しています。
ただし、その弊害として「歯は悪くなった(と自分が思った)ら治療すればいい」という考え方が蔓延しており、定期健診・メンテナンスによって最小限の侵襲で歯を守るという考え方が定着しているとは言えません。

「痛くなったらまた歯医者に行けばいい」という認識は「泥棒に入られたらすぐ110番するから大丈夫!」と言って何の防犯対策もしないのと同じ事です。
泥棒に入られないように防犯対策を講じるのと、泥棒に入られてから盗まれた物を取り返そうとする労力の差は説明の必要もないと思います。
他国とのメンテナンス受診率を比較すると、差は歴然!

先進国のスウェーデン、アメリカと比較した統計からみると、その差は歴然です。
トップのスウェーデンの人のほとんどが歯科メンテナンスに通い、ご自身の歯で食事を楽しまれているのに対し、日本人の多くは痛くなったら歯医者に通いだす→治療のスパイラルから抜け出せず、銀歯だらけの歯と入れ歯に甘んじているのです。
推奨される、定期メンテナンスの間隔

3か月に1回のペースでのメンテナンス受診を基本に、その方のお口の中の環境によって前後します。
メンテナンスの間隔の目安
状況 | 推奨頻度 |
---|---|
歯周病が進行している方 |
1-2ヶ月に1度 |
軽度の歯周病 |
3ヶ月に1度 |
なぜ、定期メンテナンスの間隔は3ヶ月がベースなのか?

歯にこびりつく「プラーク(歯垢)」は、時間がたつと強力な膜=バイオフィルムになります。
このバイオフィルムは、約三ヶ月で酸を発生させ虫歯の原因になったり、毒素を出して炎症を再燃させます。
三ヶ月以内に、定期チェックをし、歯石除去や歯ブラシチェックをする事で、菌の増殖を食い止める事ができます。
研究・統計的な裏付け
スウェーデンの研究(Axelssonら)
3ヶ月ごとのメンテナンス群は、年1回のみ受診群に比べて虫歯の発症率が1/4以下に抑えられた。
3ヶ月ごとのメンテナンスを受けた人は、歯周病による骨の減少がほとんど進まなかった。
日本での調査
定期的な通院をしている人は、歯を失うリスクが約1/3以下に減少する。
とされています。
こんなメンテナンスの通い方はNGです

上記でご説明したように、メンテナンスの間隔は、患者さんのそれぞれの状態に合わせて歯科医師が判断し、ご案内しています。
ところが、その間隔を守らずに、自分の適当な感覚で来院し、定期メンテナンスに通っている気分になっている方がいます。
例:定期メンテナンスの時期を無視して、気まぐれにメンテナンスの希望をされる=不定期メンテ・気まぐれメンテ
つめものが取れた等、何かあった時にだけ来院し、そのついでにメンテナンスの希望をする=ついでメンテ
これでは、本人がやった気になっているだけで、メンテナンスの効果もありませんし、医療従事者からも「この患者さんは約束を守ってくれない人」と判断されて、良好な関係の構築が出来ません。
例えば、お薬を処方しても、きちんと飲んでくれない人は、トラブルの原因にもなりかねないので、医療従事者からも避けられてしまいます。
メンテナンスのご案内をしても無視される人は、そのような人と同列に見られてしまうのです。
また、保険診療で治療後のメンテナンスを受診される際は、実は患者さんにはわかりづらい多くの条件や制約をクリアして、受ける事ができます、無制限には受けられません。
メンテナンスの間隔も条件の一つです。
勝手に患者さん側で時期をずらしてしまうと、保険診療でメンテナンスを受ける事ができなくなります。
そういった点からも、ご案内された定期メンテナンスの間隔は守ってください。
当院では、「予防」という言葉はあまり使わない

虫歯の洪水の時代から徐々に歯科医療環境が変化して、「予防歯科」を提唱する歯科医院が増えてきました。
当院も「治療が終了しても歯科医院に継続して通ってもらうこと」を提唱しています。
しかし、当院ではあえて「予防歯科」という言葉は使っておりません。それは「予防歯科」という言葉を使ってしまうと、患者さんに「自分は完治したんだ!」と錯覚させてしまうためです。
虫歯は「削ってつめた=完治」と考えていいかもしれません。
しかし、歯周病によって深くなった歯周ポケットは、治療をしたからといって、すぐには変化してくれません。
継続的にお口の中の環境を長期間維持して、初めて良好に変化していきます。
それは、テスト前の「一夜漬け」が本当に知識として頭に染み込んでないのと同じように、日々の努力が大切です。
テストがなければ誰も勉強しないように、継続的なメンテナンスの機会を作って通ってもらわないと、よほど意識の高い方でもだんだんとモチベーションは下がってしまいます。
あくまで、治療終了=初期段階の治療終了(一区切り)で、その後の継続的な管理によって、歯周病が改善するかは決まる、というのを患者さんにもっと知ってもらわないといけませんね。
定期メンテナンスの流れ
ここでは、定期メンテナンスの流れをご紹介します。
「定期メンテナンスだから」と、特別な処置はありません。
積み重ねる事が大切です。
手ぶらでメンテナンス

頭ではわかっていても、なにかを継続するのはとても難しい事です。
当院では、定期的なメンテナンスを継続してもらうために受診のハードルをさげる細かな工夫を色々していますが、その中の一つにメンテナンス時に使った歯ブラシの無料プレゼントがあります。
効果的な歯ブラシの仕方を書いた紙も一緒に差し上げてます、おうちで読んで再確認して下さいね。
よくある質問